科学解释为什么会有回光返照?
来源:ufo110线索网(www.ufo110.net) 人类未解之谜
回光返照(Terminal Lucidity)
表现为临死之时的突然活跃,各项生理指标猛涨,病人意识突然清醒,甚至可以下床走路,但过一段时间(有时长达几天)之后,病人就崩塌了,走向了真正的死亡
就像这样——

(我没有对生命不尊重,只是死亡本身并不是可怕的事情)
——但似乎这一切没法单纯的用“肾上腺素升高”来解释,实际上肾上腺素广泛用于抢救,在临终时有时甚至会用“三联针”——肾上腺素,阿托品,盐酸利多卡因,心内注射来抢救病人,这么大的剂量也没见病人突然醒过来叮嘱后事啊?
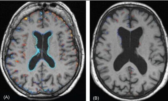
实际上,在一篇Review当中提到[1 ],在临终之前大脑的意识并不是正常时的样子,比如慢性的脑损伤病症,阿尔茨海默症(老年痴呆)有着渐恶性的脑萎缩(呈现巨大的空洞):

这些病症中偶尔会有稍纵即逝的反弹性脑功能回归,甚至在临终前有颅压回升等现象,但别的脑内的病变比如精神分裂症等,回光返照的指标又完全不同.
因此,目前仍无法确定回光返照是否有一个统一的成因
就像是癌症一样,虽然结果都是肿瘤,但是起因是极其复杂且难以解释的,每一个成因的肿瘤都有不同的途径,但最终导致的都是癌症.
总之,医学还是个婴儿,我们还有太多的未解之谜有待发现~
另一种个解释:
懒癌患者大家都见过吧,比如考试不及格的,有没有发现,他们在考前**会回光返照?!学习效率极高,然后第二天死去。
这是为什么呢?因为,他们感受到了死亡的来临!
~~~~~~~~~
我这个不是抖机灵,这是比喻。
作为搞了十几年ICU的医生,见过的死亡过程远远多于绝大多数知乎用户,我们做这一行的,肯定是比较有资格回答问题的。
有人说ICU不算数,都是抢救的病人。这样说其实是不了解我们这个专业,因为要进行医院内会诊,没有抢救之前的过程,也是我们在看。
有个我们经常会感觉不妙的时刻,就是相对平静的病人开始躁动,在床上挣扎,大喊,这是因为,他的生理指标虽然越来越差,状态越来越不好,但还能生存,直到机体自身感受到了死亡的临近。
有很多回答都提到了一个现象,就是患者多少天都吃不下东西,死前提出要吃,就类似我刚刚提到的情况。

最悲壮的举例:
大脑:各单位报告目前情况
心:机能丧失99%
肝:机能丧失99%
肺:机能丧失99%
胃:机能丧失99%
脾:机能丧失99%
肾:机能丧失99%
大脑:外界援助已经无法扭转局势,肾上腺素储备还有多少?
肾上腺:肾上腺素仅余5%且无法再制造
大脑:所有肾上腺素分配给神经系统及声带肌肉,准备给外界传达最后信息,其余各单位做好停机准备,本指令不再重复
大脑:感谢各位几十年来的辛勤奉献与全力支持,你们可以休息了,我整理一下一生的工作,也顺便在看看这个世界最后一眼,去去就来。
(小编突然感觉很悲壮的一面)
像是一部老旧,到了寿命期限即将停止运转的机器,在即将停转时,平静而坦然。有生就有死,谁也跑不掉,无可奈何
文章来源:ufo110线索网http://www.ufo110.net/原文地址:http://www.ufo110.net/Mysteries/renlei/3427.html





